
¿Mala pronunciación las letras: “r”, “s”, y “t”? ¿Inapetencia? ¿Mandíbula desencajada? Tu niño puede tener una maloclusión. Pero, ¿qué es una MALOCLUSIÓN?
La maloclusión es una condición de “mordida defectuosa” entre los dientes superiores (maxilar) y los dientes inferiores (mandíbula) y se puede presentar de diversas formas, con alteraciones en la maxila (maxilar superior), en la mandíbula (maxilar inferior) o ambos. El resultado visible son unos dientes chuecos o que no coinciden entre sí.
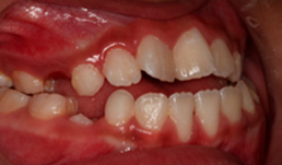
EJEMPLOS:
A) Maloclusión por mandíbula pequeña.

B) Maloclusión por mandíbula grande.


¿Por qué debe importarnos si nuestro hijo presenta una MALOCLUSIÓN o no?
La maloclusión dificulta la masticación y pronunciación de algunas letras como la “R” y la “S” y muchas otras condiciones que iremos detallando en futuros artículos. A esto, podemos añadir que la boca está compuesta por una serie de huesos y músculos que a su vez forman parte del rostro, por lo tanto, de existir una maloclusión, se está alterando el crecimiento normal del rostro de nuestro niño, esto altera no sólo su morfología, sino también influye en su autoestima y desarrollo emocional.
¿Cuáles son las causas de las MALOCLUSIONES?
Las maloclusiones pueden deberse a alteraciones en las funciones fisiológicas básicas como la respiración y masticación. Es decir, un niño que respira por la boca –que no es lo correcto– es casi seguro que presentará un tipo de maloclusión, así como los niños que no están acostumbrados a morder o masticar alimentos duros y fibrosos también están condicionados a desarrollar una maloclusión, generalmente relacionada a dientes chuecos.
Los hábitos nocivos como chuparse el dedo, morderse las uñas y labios también producen maloclusiones. Es importante mencionar que las maloclusiones también podrían tener un componente genético.
¿Cómo se tratan las MALOCLUSIONES en niños?
En cuanto a su tratamiento, debe tener dos características:
- Iniciarse lo más temprano posible, de preferencia en los dientes de leche, antes de los 6 años, evitando futuros tratamientos con brackets, extracciones dentales e incluso cirugías. Sin embargo, si tu niño ya pasó esta edad es nuestra obligación como padres ocuparnos de su atención lo antes posible.
- El tratamiento debe restablecer las funciones alteradas, es decir, si la maloclusión la produjo una respiración oral, esta función debe ser corregida; si la maloclusión la produjo una deficiencia para masticar de igual manera esta función debe ser corregida, asegurándonos que nuestros pacientes respiren por la nariz y mastiquen correctamente. Si no se corrigen estas funciones, entonces las maloclusiones regresarán (recidiva). Es por ello que abundan los casos de los dientes que regresan a su condición inicial (chuecos), después de tratamientos con brackets; esto se debe a que no se restableció la función alterada en los pacientes con maloclusión, en otras palabras, se atacó una consecuencia y no el problema real.

Espero que esta información te sea de utilidad, y si consideras que a alguien de tu entorno le puede servir compártela en tus redes sociales, si tienes alguna duda o pregunta te invito a dejarla en la casilla de comentarios, te responderé a la brevedad posible o si deseas una consulta puedes contactarnos dándole click aquí.
Mi hijo presenta ese problema si maxilar inferior es más pequeño
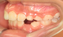
Hola Sonia, no te preocupes que este tipo de problema se puede corregir (las ultimas fotos del articulo es de una paciente nuestra de 7 años, antes y despues del tratamiento), mientras más temprano mejor. Cuentanos que edad tiene tu hijo. Te estaremos enviando por correo un articulo que publicaremos mañana para que puedas identificar otras características asociadas a maloclusiones, ya que estas nos permiten identificar que otros componentes funcionales están afectando el correcto desarrollo de los maxilares. Revisas el articulo de mañana y nos comentas. Saludos
Hola buenas noches mi hija…tiene 8 años y sus dientes inferiores no tienen .poco espacio ….que debo hacer.
Gracias.
Hola Sonia, nosotros tratamos a niños desde los 3 años en los que la falta de espacios ocasionan que los dientes permanentes no tengan lugar para salir y como consecuencia se amontonen, lo ideal es poder abordarlo lo más temprano posible así evitar en el futuro maloclusiones que necesite ortodoncia o cirugías. Te puede comunicar con nosotros por 953 727 860, Saludos!
Mi hijo tiene 7 años y también tiene el problema maxilar en la parte de abajo le han salido dos dientes montados tendrá solución o es necesario k use brackets
Hola Rober, a los 7 años podemos tratarlo estimular el correcto desarrollo de sus maxilares, ya que el problema de los dientes apiñados (chuecos) es que los huesos maxilares están en mala posición o chuecos. Así evitamos que tu pequeño use brackets en el futuro o lleve tratamientos complejos como extracciones de dientes para alinearlos. El día de hoy te pasaremos un articulo por correo para que puedas identificar algún otro signo de problemas de desarrollo en los maxilares. Saludos.
Mi hijo le salio los dientes dos en.el.mismo.sitio…pero uno se sslio el.de leche y el que quedo esta medio chieco….tambien.no sabe pronunciar la r y l s¿Que tratamiento.debo seguir?
Hola Lisbeth, el tratamiento dependerá de la edad de tu niño, sin embargo, lo mas importante es actuar tempranamente. Por las características que mencionas puede ser que los dientes anteriores superiores cubran casi totalmente a los inferiores al morder, esto se asocia a una mandíbula pequeña y son niños que le cuesta masticar alimentos fibrosos y duros como la carne. Lo tienen un rato en la boca, lo hacen una bola, lo chupan y no pueden pasarlo, y todo esto debido a su maloclusion. No es que sea caprichoso, sino que su tipo de mordida le dificulta la masticación y también la pronunciación de la R y la S. Si tratamos la maloclusion estos problemas se solucionan. Espero te hayamos podido ayudar. Saludos
Hola, mi hijo tiene 4 años y tiene los dientes de abajo sobre los de arriba. Me preocupa que el tratamiento sea invasivo, molesto o doloroso ya que mi hijo es bastante miedoso. Me podría orientar de cómo se trata este problema? Gracias.
Caroline, te hemos dejado un correo electrónico con la información que nos consultas.
Mi hijo tiene 8 y el problema es que en ıa parte de abajo le han salido ıos dientes chuecos y hacia adentro
Hola Lucila, a esta edad es importante tratarlo con técnicas ortopédicas funcionales, ya que permiten la normalización de sus funciones como la masticación. Una vez tratados con Ortopedia a temprana edad, no necesitaran tratamientos con Brackets, es mejor solucionar las maloclusiones lo más temprano posible. Espero te hayamos podido ayudar, cualquier consulta estamos a tu disposición. Saludos
Mi hija tiene 12 años y le sta saliendo otro diente encima de otro y le duele..
Hola Madelyn, es muy probable, por lo que me describes que tu pequeña presente un apiñamiento (dientes chuecos por falta de espacio) severo, nuestra recomendación es utilizar un tratamiento para hacer crecer los maxilares y evitar tratamientos con extracciones dentales. Espero que nuestra respuesta te ayude. Saludos.
Hola. Mi niño tiene 6 años y medio y hace una semana lo lleve al doctor, porque le están brotando los dientes permanentes sin botar los de leche lo único qUE me dijo fue que tenia el maxilar pequeño ya que los dientes que le están saliendo son mas anchos tendría q sacrificar dos dientes de leche por cada permanente. Es cierto eso hay alguna otra solución . Gracias
Hola Marisol, si el problema en tu niño es que tiene el maxilar estrecho, el problema mayor solo se esta postergando. Ya que cuando empiecen a salir los caninos (9 años y medio aproximadamente) estos quedaran sin nada de espacio para salir y te dirán que tienen que extraerle premolares para poder alinearlos con brackets. Lo ideal es usar un tratamiento para hacer crecer los huesos maxilares y de esta forma permitir que los dientes permanentes tengan su espacio correcto, así evitamos que tratamientos complejos y mas largos en el futuro, sobre todo, evitamos las extracciones de los dientes permanentes. Cuanto antes se trate el problema mejor, el mejor tratamiento a esta edad es un tratamiento Ortopédico Funcional de los Maxilares, ya que estimula el crecimiento de los huesos y soluciona los problemas a temprana edad, esta es nuestra recomendación. Saludos.
Buen día, mi niño tiene 5 años y generalmente tiene la boca abierta, hemos observado que cuando mira televisión o cuando se concentra en algo tiene la boca abierta, es más cuando duerme boca arriba su boquita esta abierta, en el jardín donde estudia la terapista de lenguaje le hizo una evaluación y nos informó que presentaba malaoclusión dentaria ausencia de diastemos en ambas arcadas dentarias y adicionalmente una hipotonía facial, lo curioso es que a pesar de ello mi hijo habla correctamente, agradeceré me pueda informar cuál es el tratamiento para este diagnóstico y que lugar es recomendable para tratarlo.
Hola Silvia, por la descripción parece que tu pequeño es respirador oral, esto trae consecuencias en el crecimiento de los maxilares y también en la masticación. En general la masticación es el motor que activa los músculos y la contracción de los músculos hacen crecer los maxilares y el rostro, cuando los maxilares y el rostro crecen adecuadamente los dientes salen derechos y en su posición. Entonces, en el caso de su pequeño, la respiración alterada causó la maloclusión que no le permite una correcta masticación y por ende la hipotonía orofacial. La recomendación es evaluar y tratar de forma integral a tu niño, es decir, estimular una correcta masticación y normalizar la respiración haciéndola exclusivamente nasal. Así corregimos las maloclusiones y permitimos un adecuado crecimiento de la cara y de los maxilares. Estamos a tu disposición para cualquier consulta. Saludos.
Gracias por la información y la rápida respuesta, agradeceré me informé si usted puede tratar este cuadro a fin de solicitar una consulta. Agradezco por anticipado su gentil respuesta.
Hola Silvia, sí, quien le escribe y la Dra Kerly Trujillo, somos especialistas en Ortopedia Funcional de los Maxilares así como en el Metodo de Normalización de la Respiración según el Dr Buteyko, y utilizamos ambas especialidades para el tratamiento del niño con maloclusiones y respirador Oral, tenemos muchos casos tratados y experiencia en este tema. Si deseas una cita personal déjanos tu numero celular y mañana la secretaria se comunicará contigo para quedar una cita. Saludos.
Ola buenos dias mi hija presenta ese problema siempre la llevo al odontologo xq los dientes de leche no se le caian y fueron sacandoselos ahpra presenta los dientes como los de la foto la e llevado nuevamente a otro doctor donde me a dicho q no tiene nada q el maxilar crecera y se emparejara.. quisiera q usted la vea doctor..
Gracias!!..
Hola Vanesa, cualquiera de los casos de las fotos, son casos complejos, que usamos para que se hagan una idea de las maloclusiones, pero desafortunadamente lo que te dijo mi colega no es cierto, los maxilares nunca se emparejan este tipo de maloclusiones, al contrario empeoran con el tiempo y cuando son más grandes la única opción que generalmente queda es la cirugía de los maxilares. En el articulo puedes ver las fotos finales es de una paciente nuestra de 7 años que corregimos una severa maloclusión en casi 1 año, son fotos de la misma paciente antes y después. Si deseas una consulta déjanos tus datos y te podemos llamar para coordinar una cita. Espero tus comentarios. Saludos.
Hola. Mi niña 8 años le están brotando los dientes permanentes por detrás y chuecos sin botar los de leche, cuando la llave al doctor me dijo q podríamos usar un tratamiento con ferulas pero cuando ya tenga todos sus dientes permanentes para que en el futuro no use bracket.
Tambien me comentó que mi tiene los dientes de leche pequeños y eso es buenos por cuando salgan los permanente salgan tendrá espacio suficiente para q estos broten sin ningún problema, pero le están saliendo los dientes chuecos y por de tras de los ya que los de leche no se caen.
Mi consulta eshabrá algún tipode tratamiento para que sus dientes se acomoden son necesidad de que más adelante use braket, es cierto que con sólo una férula se puede corregir la posición de los dientes sin q más adelante se muevan.
Hola Katty, mira, nosotros somos especialista en Ortopedia Funcional de los Maxilares, esta es una especialidad Odontológica desarrollada en Brasil y consiste en estimular el crecimiento de los huesos maxilares para que los dientes permanentes puedan salir alineados y en el futuro tampoco se pongan chuecos. Sin embargo no utilizamos férulas, usamos aparatos ortopédicos funcionales, y podemos corregir las maloclusiones desde los 3 años (en dientes de leche no se usan aparatos removibles, se utiliza un tratamiento denominado Pistas Directas, que van pegadas en los dientes de leche), cuando le digo que corregimos, es porque nuestros pacientes luego de la ortopedia no usaran brackets y se evitaran tratamientos mas largos o con extracciones dentales de piezas permanentes. Por esto es tan importante empezar un tratamiento temprano con la ortopedia funcional. Los brackets tratan eficazmente las maloclusiones después de la erupción de todos los dientes permanentes, pero muchas veces en este momento (despues de los 12 o 13 años) el caso es mucho mas complejo y el tiempo de tratamiento es mayor y más costoso. Respondiendo de forma directa a tu pregunta, sí, es posible corregir de forma definitiva las maloclusiones en dientes de leche o en etapas de recambio dental y así evitar que los niños usen brackets en el futuro, pero no es con férulas sino con aparatos ortopédicos. Estamos a tu disposición para cualquier consulta. Saludos.
Mi? Hijo tanbien tiene ese problema tiene 6 pero el diente de leche todavia esta ay le cresio adras ….otro diente¿ q debe acer ?
Hola Diana, para saber el estado de los dientes permanentes o porque se demoran en caer los dientes de leche seria necesario una radiografía, en lo referente al problema de la maloclusión, tendríamos que evaluarlo personalmente, ya que solo así podremos saber con certeza el tipo de maloclusión que presenta. Pero debemos decirte que está en una edad adecuada para tratarlo y solucionar el problema desde temprano evitando complicaciones cuando sea mas grande, incluso evitando los brackets. Estamos a tu disposición para cualquier otra consulta. Saludos.
Buenas mi hijo tiene 6 aňos perp se le salieron los dientes de arriba xq se habia caido y los de abajo le han salido chuecos como podria hacer m interesa el tratamiendo hay solucion aun
Hola Katherine, claro que tiene solución, no te preocupes, a esta edad es posible tratarlos y corregir su maloclusión de raíz evitando que el caso sea más complejo en el futuro y evitando tratamientos más complejos cuando sea mayor. Estamos a tu disposición para cualquier consulta personalizada. Saludos.
Hola. Mi hijo tiene unos dientes sobre otros , que solución tiene? Mi niño tiene 11. Debe usar braket?
Hola Tula, los brackets podrían ser una opción, pero siempre evitando extraer dientes permanentes como los premolares para alinear los otros, es decir, se tiene que conservar todos los dientes en la boca. La otra alternativa es Ortopedia Funcional de los Maxilares, que hace un crecimiento e los huesos maxilares y como resultado los dientes se alinean. Ambas alternativas están orientadas a alinear los dientes y no extraer ninguno de los permanentes. Estamos a tu disposición para cualquier consulta adicional. Saludos.
Tengo una hija de 7 años y los dientes de arriba le estan saliendo chuecos tienla la boca abierta todo el dia .quisiera saber su numero telefonico para hacer la consulta.
Hola Giovanna, nuestro número es el 4451505 o al whatssap 953 727 860, pero también nos puedes dejar tu numero de celular por este medio, que nosotros de devolveremos la llamada para agendar una cita. A los 7 años tu pequeña esta en una edad adecuada para tratarla y evitar que su maloclusión se vuelva más compleja. Estamos en contacto. Saludos.
De que manera se puede corregir . Mi hijo tiene 3 años y respira por la boca hace bollo las carnes a menos que se las pique finamente ..
Agradeceria su respuesta.
Hola Ofelia, a los niños de esa edad se hace un tratamiento denominado Pistas Directas Planas, que van pegadas en los dientes de leche y le permiten mejorar la masticación, al mejorar la masticación mejora el desarrollo de los maxilares. Al mismo tiempo, se realiza el tratamiento de Normalización de la Respiración, que hará que tu niño respire exclusivamente por la nariz y esto también ayuda a un correcto desarrollo de los maxilares y del rostro. Estamos a tu disposición para cualquier otra consulta. Saludos
Mi hija tiene 5 años y se esta moviendo su diente de adelante parte inferior pero ya le esta brotando ahí mismo x atrás me gustaría saber eso es normal hay solución?
Hola Karen, este problema puede deberse a dos causas, que los dientes de leche aun tengan una raíz grande (que no esta bien para su edad) o a una falta de crecimiento en el tamaño de su mandíbula, que luego traerá mas problemas con los demás incisivos y con los caninos. Es posible tratarlo desde esta edad y evitar tratamientos más complejos en el futuro. Estamos a tu disposición para cualquier consulta. Saludos.
Justo mi hijo esta con ese problema exactament tiene 5 años y todavía no se le cae ningún diente como hago para ubicarlo y me de una cita
Hola Milagros, claro, puedes dejarnos por este medio tu numero de celular o llamarnos al 4451505 o al whatssap 953727860. Saludos
Mi niña tiene 3 añosy medio y quisiera saber porqué los dientes del maxilar superior está al mismo nivel que los de la mandíbula?se corregirá su dentadura con el tiempo y se ubicará donde realmente es? qué es lo que debo hacer?
Hola Gise, si a esta edad, ya presenta este tipo de maloclusión, lo ideal es tratarla lo más pronto posible, ya que este problema que describes (prognatismo probablemente) empeora rapidamente y es el tipo de maloclusión mas difícil para tratar en el futuro. Se parece a la foto del niño con la mandíbula grande. Déjanos tu numero de celular por este medio o al inbox de facebook y te llamaremos para coordinar una cita. Saludos.
Buenas tardes Doctor Darío, mi hija tiene 6 años y medio, y le ha salido un diente en la parte inferior interna como la foto primera del niño abriendo la boca, además puedo notar que se le ha movido un diente pero este demora en salir, mi temor es que le siga saliendo dientes montados, estoy muy preocupada. Bendiciones.
Buenas Noches Liliana, primero te diría que no te preocupes, porque estos casos tienen solución, y esta en una buena edad para tratarlo. Seria importante agendar una cita para evaluarlo y darte una idea más clara del tratamiento. Si estuvieses interesada por favor déjanos tu número de celular por este medio que mi secretaria te llamará para brindarte la información necesaria. Bendiciones.
Dr. Mi niña es una adolescente de 13 años, ella tiene lo que es maloclusión por mandíbula grande. La lleve con un especialista en ortodoncia y me dijo que su caso es delicado, que no es dental si no de mandíbula, es más me sugirió que consulte a un especialista porque era probable que haya una intervención quirúrgica. Eso me preocupa porque a medida que esta creciendo se está haciendo más notorio su problema. Por favor quisiera saber la dirección de su consultorio para que puedan evaluar el caso de mi niña. Gracias.
Buen día Lucy, nos gustaría poder ver a su niña para darle alternativas de tratamiento para que ella pueda evitar una cirugía ortognática de los maxilares. Nosotros estamos en Calle colon 110 Of 205 Miraflores. Alt de la cuadra 3 de la Av Benavides. y el teléfono de la Clínica es el 445 1505, Si desea nos puede dejar por este medio su número de celular para llamarlo y coordinar una cita. Saludos.
Dr. Tengo una niña de nueve años y desde muy pequeña sufre de bautismo y sus encías tienen color como morado o verde, disculpe quisiera saber si eso tiene un tratamiento médico o se se soluciona Konami solo con el tiempo. Gracias.
Buenos dias Patricia, a que te refires con «bautismo»?
Dr :
Tengo una niña de 7 años , que hace poco mudo los dientes de la mandíbula inferior y los nuevos dientes que le han salido estan chuecos . Quiero saber cual es el tratamiento a seguir y a que edad?.
Buenos días Nubia, es muy probable que tu pequeña tenga una mandíbula (maxilar inferior) muy pequeña por eso los dientes salen chuecos, porque no tienen espacio. Lo ideal es empezar a tratarla desde ahora, para evitar los brackets o que su tratamiento sea con extracciones de 4 premolares. El tratamiento es con Ortopedia Funcional de los Maxilares y permite corregir este problema desde los 3 años incluso. Puedes dejarnos tu celular o tu email o escribirnos a informes@maxillares.pe y podemos coordinar una cita. Saludos
Dr:
Quisiera saber cual es el costo del tratamiento y si es doloroso para mi niña , quisiera que me brinde toda la informacion posible , mi correo es nuvia1180@hotmail.com
Doctor:
Tengo una niña de 8 años y tiene un diente debajo del otro un odontologo lo examino y nos dijo q no era diente demas eso fue lo q pensamos q era en un principio pero nos dijo despues q era malformacion del diente y q no se podia sacar xq era el mismo diente y q tiene como un cachito q edpere q cresca para despues limar ese pedaso de diente demas digame si tiene solucion o otro tratamiento…..gracias espero pronta respuesta….
Hola Leydi, lo mejor en este caso es hacer unas radiografías, para determinar la posición exacta y el tratamiento más adecuado. Le sugiero que nos visite para darle una opinión precisa. Pero extraer dientes de leche, no siempre resuelve este problema; y no se preocupe que si fuese un diente para mantener, con Ortopedia Funcional, podemos solucionar el problema de la falta de espacio. Estamos a su disposición. Saludos.
Hola doctor le comentó que mi hija tiene 7 años sus dientes de leche eran chiquitos y parejita ahora se le están cayendo y los que le salen son grandecitos así que no tienen espacio y están saliendo uno detrás de otro, se le Han caído los 4 delantero de abajo y los 2 de arriba. Lo lleve a su consulta con el odontólogo y me dijo que tenía que esperan a que se le caigan los de leche para ponerle brackets. Pero leyendo su artículo creo que se pueden corregir. Me gustaría saber a qué especialidad la pueden examinar o donde queda su consultorio. Esto también está perjudicando su aprendizaje ya que no pronuncia bien la r. Gracias espero que me pueda orientar.
Buenos Dias Milagros, efectivamente se puede corregir desde los 3 años, nosotros somos especialistas en Ortopedia Funcional de los Maxilares, esta especialidad la desarrollamos en Brasil, donde existe como tal hace mas de 15 años. Lo que te dice nuestro colega es cierto con brackets no pueden corregir este problema y solo tratan a los niños con dentición permanentes. Esto no es lo mismo que «esperar» ya que esperar solo agrava el problema y puede terminar en tratamientos mas complejos, con extracciones dentales incluso en cirugías. Lo que te sugiero es que veamos a tu niña, diagnosticar la causa de la falta de su desarrollo de los maxilares y explicarte el tipo de tratamiento que realizamos, que va dirigido a estimular el crecimiento de los huesos maxilares y como consecuencia natural alineación dental, una buena masticación y fonoarticulación. Puedes comunicarte con nosotros al 445 1505, al whatssap 953727860 o nos dejas tu numero de celular por este medio, que nosotros te devolvemos la llama para coordinar una cita. Saludos
Buenas dias.
Mi niño tiene 10 años y tienes los dientes de arriba como los de abajo desviados.
Usted dice q se pueden corregir, pero el detalle esta donde lo puedo llevar para q me garantice la correcccion ,si yo vivo en Lima-Peru.
Hola Jaime, efectivamente, tratamos a niños de diversas edades y también adultos. Lo que me describes en el caso de tu niño debe ser tratado de la manera más conservadora posible, sin extraer dientes. Nosotros estamos en Calle Colon 110 Of 205 Miraflores a la altura de la Cuadra 3 de la Av Benavides. Teléfono 445 1505 o al whatssap 953 727 860, http://www.maxillaris.pe Saludos.
Buenos días mi hija de 4 años tiene ese problema le está saliendo un diente atrás del q tiene le llevé al doctor y decidió sacarle el de adelante q puedo hacer para que no tenga problemas mi niña gracias
Hola Yuliana, nuestra sugerencia es que se descarte una falta de espacio para todos los dientes permanentes, ya que si solo se extraen los dientes de leche, el problema principal (maxilares pequeños) se esta postergando y agravando con el paso del tiempo. Saludos.
doctor quisiera saber como se puede prevenir en un niño de 6 añoss o
Hola Susann, si tu niño tiene una maloclusión en este momento ya podemos saberlo y también podemos tratarlo, así prevenimos que sus dientes permanentes salgan chuecos, y podemos evitar que use brackets o se someta a extracciones. Podemos prevenir tratamientos mas largos y complejos cuando crezcan, si lo tratamos ahora. Si deseas una cita puedes contarnos aquí: https://maxillaris.pe/contacto/
Saludos.
Doctor ayer que lleve al odontopediatra a mi hija y me dijo que su mandíbula estaba salida ( maloclusion clase III) como la foto. Qiisera saber cual es el tratamiento mi hija tiene 6 años.
Hola Giani, si bien es cierto que las maloclusión de clase III es la más complicada en tratar, cuando tratamos a temprana edad los resultados son más rápidos y con un mejor pronóstico y deseas pudemos quedar una cita y explicarte el tratamiento y casos similares tratados incluso desde los 3 años. Puedes enviarnos tu numero de celular y te llamaremos para agendar una cita.
Saludos.
mi hijo tiene 12 años, y estoy viendo que su maxilar inferior esta desarrollando mas que la superior , en este caso que puedo hacer , que me aconseja debera usar bracket.
Gracias x su respuesta
Buenas tardes, Gaby. Estamos en el límite para tratarlo ortopédicamente. No recomendaría a esa edad el uso de brackets, porque con ellos no va a cambiar el crecimiento de sus maxilares (el cambio de dirección del crecimiento de los huesos es con el tratamiento ortopédico funcional no con brackets).
Buenas noches. Mi hijo tiene 21 años. Presenta mordida abierta como la foto. Su maxilar inferior está un poco más afuera de la superior. Quisiera saber si puede corregirse con brackets y como puedo agendar una cita para consulta. Gracias.
Rosa, buenas noches, mil disculpas por la demora. Tu hijo es tratable y evitar una cirugía ortognática. Puedes comunicarte con nosotros al 3395418. Saludos
Mi niña esta por cumplir los 5 años en junio y los dientes de leche no se le caen pero ya le broto 1 y otro esta próximo a hacerlo son los permanentes en la parte inferior , la lleve a consulta y la primera odontopediatra indico que tenia que extraerse los 4 dientes de adelante y con el tiempo me hablo de ir extrayéndoles los dientes leche molares y otros mas para que haga espacio para los diente permanente , luego tuve una segunda opinión del mismo consultorio me indico que podría ser un expansor por que tiene la mandíbula pequeña.
Ahora no se como proceder le mencione lo que me indico a la otra srta. su colega lo del expansor y me dijo que podría ser una solución a la mandíbula estrecha , pero nada mas por lo pronto ya le extrajeron 2 dientes de leche donde esta que se posiciona el nuevo diente permanente que broto, y me dicen que hay que sacarle 2 dientes de leche mas para que el otro permanente tenga espacio.
No quiero una solución de momento quiero saber que hacer o con quien acudir para que mi pequeña mas adelante no tenga problemas con su dentadura.
Gracias
Hola buenos días Patricia,
Con la Ortopedia Funcional de los Maxilares, no va a ser necesario alguna extracción dental, ya que el tratamiento se enfoca en el crecimiento adecuado de los maxilares y como consecuencia de ello los dientes estarán derechos. Tendrán suficiente espacia para la salido de los dientes permanentes. Se basa en Aparatos Removibles que no causan dolor y son muy confortables.
Puedes comunicarte con nosotros mediante los siguientes números: 953 727 860 / 01 339 5418
Saludos!!
Hola doctor mi hijita tiene 4 años y sus dientes no coinciden mejor dicho los dientes de abajo se ponen encima de los de arriba como los perritos pekines ..algo asi .que me aconseja de ello mi hiiita habla correctamente .y muy clarito .pero sus dientesitos no los veo normal ..aconsejeme
Hola Lisseth, nosotros tratamos a niños desde los 3 años de edad con este tipo de mordida. Mi recomendación es empezar el tratamiento a su edad para que en el futuro no sea más invasivo. Los Aparatos Ortopédicos Funcionales (AOF) ayudan a corregir de forma definitiva cualquier maloclusión y tienen como objetivo evitar en que utilicen Brackets, pasar por alguna extracción dental, incluso cirugías. Puedes comunicarte con nosotros al siguiente número: 953 727 860, así poder aclarar todas tus dudas. Gracias por comunicarte con nosotros, esperamos ser de ayuda para tu hijo. Feliz tarde!
Buenas noches …mi hijo tiene 14 años …tiene dientes apiñados …juntos y chuecos …y la mandíbula esta hacia un costado inclinado ….tiene solución con ortodoncia …cuanto es el costo .
Buenas tardes Hemi, el tratamiento ideal para corregir la mordida de tu hijo es con Ortopedia, se realiza exclusivamente con unos Aparatos Removibles que no generan dolor. Casi siempre un tratamiento de Brackets ayuda a corregir la alineación de los dientes, pero no la posición correcta del Maxilar, en esto se enfoca la Ortopedia, en corregir el crecimiento adecuado de los maxilares y como consecuencia de ello los dientes estarán derechos.
Saludos!
Hola, buenos días! Mi niña tiene 8 años, más de un año le salió su diente de leche de arriba, ya tendría que salir su diente de hueso canino ,le hicieron una panorámica resulta que no se desarrollo el diente que no existe, muy aparte la mandíbula de abajo lo tiene muy pequeño y los dientesitos lo tiene muy junto y pequeños, me dicen de unos expansores, tanto arriba como abajo. Cuál sería la mejor desición!
Buenos días, ante todo mil mil disculpas en la demora en responder.
Los expansores no le van a solucionar de forma definitiva el problema su niña, lo mejor es utilizar los aparatos ortopédicos funcionales ya que con estos si podemos solucionar de forma definitiva, los problemas que nos cuenta respecto a su hija, si esta interesada podría pasar una consulta con nosotros y le mostraríamos en que consiste el tratamiento y casos similares ya solucionados, las esperamos!!
Mi hija de 4 años al morder los dientes infeeiorez quedan hacia afuera ¿cual es el tratamiento? Y donde ae realiza
Hola Cesar, tu hija según lo que me comentas, tiene maloclusión tipo III o muy conocida como mordida invertida (es cuando el maxilar inferior esta sobre el superior), este tipo de caso lo corrijo con aparatos ortopédicos, que no causan ningún tipo de dolor y se puede corregir a temprana edad. Estoy en Avenida Reducto 1370, Miraflores. Te dejo un número de contacto para que te puedas comunicar si estas interesado en una cita de evaluación 953 727 860. Saludos.
Buenos días doctor mi hijo tiene 10 años y tiene maxilarsuperior más salido que el de abajo o mordedura de grado 2 a lo cual me han dicho que le quieren aser un corte en el paladar y ponerle una placa para que pueda estirarse un poco la parte de arriba del maxilar y puedan encajar con los dientes de abajo pero no sé si es lo apropiado me dicen que al poner la placa habrá un espacio hueco que como mi hijo está en crecimiento rellenará con el pasar del tiempo tengo un poco de temor y quisiera otra apreciación de lo que en su caso de mi hijo se pueda aser para mejorar su condición
Hola Sara, por lo que ud. me describe, el tratamiento que le han planteado es disyunción maxilar, este tratamiento no va a solucionar la maloclusión de su hijo. Luego le indicaran que tienen que extraerle premolares y usar brackets por 2 o 3 años, probablemente recién se los coloquen cuando tenga 12 o 13 años y en ese momento su problema será mayor todavía. Yo le recomiendo que se trate con ortopedia funcional, ya que de esta manera estimulamos el correcto desarrollo de la mandíbula produciendo un desarrollo facial armónico y evitando que tenga que extraerse dientes y también evitando el uso de brackets que son dolorosos. Saludos!
Hola Doctor, tengo 37 años y tengo maxilar superior mas sobresalido …a mi edad aun se puede corregir..Gracias
Hola Liliana, a tu edad si es posible corregir tus maxilares, la ortopedia se puede empezar en adultos. Para ello es necesario que pases por una evaluación y asi ver en cuanto tiempo será necesario que estés en tratamiento. Saludos!
Mi pequeña tiene 3 añitos y tiene la mordida abierta. Come poco, supongo que se cansa rápido de masticar. No pronuncia bien sólo la ‘R’ y duerme con la boca abierta. Me dijeron que es por el uso del chupón. Ella es algo terquita, no lo quiere dejar. Para cerrar con broche de oro: LE TIENE PÁNICO A LOS DOCTORES.
Hola Fabiola, debes quitar el mal hábito del chupón, está ocasionando que su mordida se abra, Si ya cuentas con un diagnóstico precoz de la mordida abierta es fundamental iniciar un tratamiento de ortopedia, es sencillo y la ventaja es que no causa dolor. Saludos!
Buenos días, mi hija tiene casi 8 años y tiene el maximilar inferior salido . Quisiera saber cuál sería su tratamiento. Gracias
Hola Angela, el tratamiento sería con aparatos ortopédicos, que van a ayudar que el crecimiento de sus maxilares sea el adecuado, se realiza con férulas que no causan ningún tipo de dolor. Saludos
Buenos dias mi hijo acaba de cumplir 5 años y tiene la mordida invertida pero ligeramente (solo incisivos ) ya que su canino esta en posición normal la pregunta es si ya es momento de tratarle o esperar a la denticion mixta .
Gracias
Hola Lucia, si esta a edad de comenzar el tratamiento, nosotros tratamos la mordida invertida desde los 3 años de edad, con el tratamiento de Ortopedia, se realiza exclusivamente con Aparatos Removibles, que son muy confortables y no genera ningún dolor. Lo ideal es poder abordarlo lo más temprano posible así evitar en el futuro maloclusiones que necesite cirugías. Saludos!
Dr soy Milagros, mi hijo tiene el maxilar inferior sobresaliente tiene 11 años, podría ayudarme qué será necesario? Gracias
Hola Milagros, lo más importante es tratar a tu hijo lo más pronto posible, este tipo de maloclusión se hace más severa entres los 12 y 13 años en el caso de los varones, pudiendo llegar a convertirse en un caso donde la única forma de resolverlo sea a través de una cirugía de los maxilares. Con la Ortopedia Funcional podemos solucionarlo evitando extracciones dentales, brackets y cirugías. Ya lo sabes está en tus manos tratarlo lo más pronto posible. ¡Te esperamos!
Mi niña tiene 5 años..los dientes de abajo los d leche se estan moviendo..pero por dentro le salio otros dientes..yo soy de peru y quisiera saber si hay un lugar en este pais donde usted pueda atender..o si hiciera campañas..p q la vea a mi niña…gracias.
Hola Jhanina, nuestro centro odontológico especializado se encuentra en Lima, Avenida Reducto 1370, oficina 204, Miraflores. Contáctanos a 953 727 860. ¡Feliz tarde!
Buenos días, tengo una niña de 4 años la mordida presenta este problema: Los dientes inferiores quedan por fuera. Me dicen que debe usar aparatos por 2 años. Existe un tratamiento que se pueda iniciar a esta edad y que no sea tan traumático para ella?.
Hola Cesar, por lo que nos comentas tu hija presenta una mordida invertida, una maloclusión que debe ser tratada desde pequeña, a su edad se puede corregir con la ortopedia funcional de los maxilares, no es un tratamiento que le causara dolor y veras resultado a los pocos meses de comenzar el tratamiento, puedes comunicarte por nuestro número de WhatsApp y enviarte mayor información 953 727 860, Feliz tarde!!
Hola , mi hijo tiene 6 años y medio .. genéticamente nosotros desde mi abuela , mi padre y yo tenemos la mandíbula inferior más prominente que la superior .. yo veo de perfila mi hijo y creo que su mandíbula inferior se le está desarrollando igual. Adicionalmente , he visto que Cuando duerme la lengua empuja los dientes de abajo . No respira por la boca, apenas lleva dos dientes de abajo mudados , es decir le están creciendo los dientes fijos . Me preocupa que la malformación de la mandíbula esté en el , puedo hacer algo para revertirlo? Gracias por su respuesta
Hola Angelica, nosotros tratamos la mordida invertida desde los 3 años de edad, con el tratamiento de Ortopedia Funcional, este se realiza exclusivamente con Aparatos Removibles, que son muy confortables y no genera ningún dolor. Lo ideal es poder abordarlo lo más temprano posible así evitar en el futuro maloclusiones que necesite cirugías. Te invito a comunicarte con nosotros si desea una evaluación o mayor información a los siguientes números: Whatsapp 953727860 – 01 339 5418. Te esperamos
hola comentarle que mi hija tiene 9 años y tiene una mordedura adelantada maloclusión
me tiene muy preocupado por que en mi familia no se vio que me aconseja dr. gracias
Hola Limber, permítenos enviarte un correo electrónico con información específica sobre nuestro tratamiento en Ortopedia Funcional.